What is adenomyosis?
A condition which results in heavy and painful periods in women. The cause is unknown.

What changes are found in the uterus?
Tissue which usually lines the uterine cavity (endometrium) is abnormally present in the uterine wall (myometrium). This can co-exist with endometriosis in which the same tissue can be found in the pelvis outside the uterus.

How common is adenomyosis?
Approximately three in ten women suffer from adenomyosis. This could be underestimated.

What are the risk factors?
Although it can be present at any age, symptoms are more common in women in their 30s and 40s. There is an increased risk in women who have previously had a child or underwent uterine surgery. Adenomyosis also is found more often in women with endometriosis or uterine fibroids.
What are the Symptoms and manifestations?
- Painful periods
- Heavy periods
- Pain with sexual intercourse
- Pelvic pressure & bloating
- Chronic pelvic pain
- Enlarged uterus
- Possible adverse effects on fertility

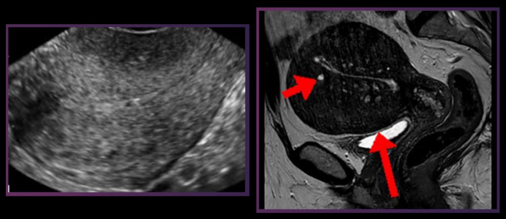
How is adenomyosis diagnosed?
The disease is suspected in women with painful periods and heavy vaginal bleeding in the absence of other explanations for the symptoms. Your doctor may order imaging such as ultrasound or MRI to support the diagnosis and rule out other causes.

How is adenomyosis treated?
Hormones such as birth control pills, injectable progesterone or intrauterine devices

Medications that suppress ovarian hormone production such as Lupron injections or Danazol tablets

Non-Surgical Procedures
Uterine artery embolization is a procedure done to block the blood supply to the uterus to decrease bleeding and diminish adenomyosis. 70-80% of women will have resolved or improved symptoms. This procedure is not appropriate for women desiring future fertility.

Surgery
Hysterectomy is the main surgical procedure available for treatment of adenomyosis. Excision of adenomyosis while keeping the uterus in place is usually not feasible. The procedure can be done by a minimally invasive approach in most cases. Hysterectomy is the only definitive treatment.


